蒲公英 - 制药技术的传播者 GMP理论的实践者

搜索
查看: 7953|回复: 0
收起左侧

[其他] 侵袭性肺部真菌感染诊治依据

[复制链接]
药徒
发表于 2021-9-22 10:07:20 | 显示全部楼层 |阅读模式

欢迎您注册蒲公英

您需要 登录 才可以下载或查看,没有帐号?立即注册

x
随着广谱抗菌药物、免疫抑制剂和抗肿瘤药物的广泛应用、各种导管的留置以及呼吸机的普及,加之对免疫缺陷病和真菌感染诊断水平的提高,临床上儿童侵袭性真菌感染的患病率呈上升趋势。

肺部是侵袭性真菌感染最常见的部位,侵袭性肺部真菌病不仅会加重原有基础疾病,影响肺功能,造成低氧血症,甚至引起大咯血危及到患者的生命。  



(图来源于网络,侵删)


诊断依据

宿主和环境因素

(1)基础疾病:早产儿、低出生体重儿、先天发育异常、慢性疾病和重度营养不良等。

(2)原发性免疫缺陷病:各类原发性免疫缺陷病,尤其是联合免疫缺陷病、细胞免疫缺陷病和慢性肉芽肿病(CGD)等。

(3)继发性免疫功能低下:抗肿瘤药物导致外周血中性粒细胞减少;长期应用广谱抗莆药物、糖皮质激素以及其他免疫抑制剂;骨髓移植和器官移植后以及HIV感染和其他严重病毒感染等。

(4)侵人性操作:包括血管内留置导管、留置导尿管、气管插管或气管切开、机械通气、腹膜透析、血液净化和胃肠外营养等。

(5)环境危险因素:免疫功能基本正常的儿童,由于吸入大量真菌孢子,如空调污染、密切接触鸽类以及接触有真菌存在的环境,超过机体抵抗力而发病,多见于肺隐球菌病,其次是侵袭性肺曲霉病。


临床证据

(1)发热、咳嗽和肺部体征经抗菌药物治疗无好转或好转后再次出现发热、咳嗽和肺部体征。

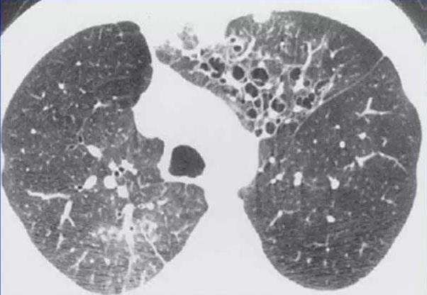
(2)影像学提示肺部病变经抗菌药物治疗无好转或肺部出现新的非原发病的浸润影。提示侵袭性肺曲霉病的影像学征象:早期出现胸膜下密度增高的结节实变影和(或)楔形实变影、团块状阴影,病灶周围可有晕轮征,数天后肺实变区液化、坏死,出现空腔阴影或新月形空气征。

曲霉可引起侵袭性支气管感染,影像学主要表现为沿支气管分布的结节阴影、树芽征和细支气管壁增厚等,可单独出现,但常与肺部病变并存。免疫功能低下儿童,多见斑片状或大片状实变,单侧或多侧,与其他病原体肺炎难以区别。免疫功能正常的儿童。多见结节状阴影,单发或多发,常位于胸膜下,大小不一。弥漫性粟粒状阴影、肺间质性病变、气管支气管旁淋巴结肿大者等较少见。

提示肺念珠菌病的影像学征象:结节实变影和(或)大片状实变,少有空洞形成。血行感染或由肺部感染发生播散者,多呈弥漫粟粒状阴影。念珠菌也可引起侵袭性支气管感染,影像学表现同曲霉感染。提示肺孢子菌肺炎的影像学征象:双肺毛玻璃阴影。




(图来源于网络,侵删)


微生物学证据

有临床诊断意义的微生物学证据:

(1)合格痰标本直接镜检发现菌丝,且培养连续2次以上分离到同种真菌;
(2)支气管肺泡灌洗液经直接镜检发现菌丝,真菌培养阳性;
(3)合格痰液或支气管肺泡灌洗液直接镜检或培养发现新生隐球菌;
(4)血液标本曲霉半乳甘露聚糖(GM)实验连续2次吸光度指数(GMI)值>0.8或单次GM I值>1.5;
(5)血液标本真菌细胞壁成分l,3.B—D葡聚糖抗原(G试验)连续2次阳性;
(6)血液或支气管肺泡灌洗液隐球菌抗原阳性。


有确诊意义的微生物学证据:

(1)肺组织真菌培养阳性;
(2)胸腔积液真菌培养阳性;
(3)血液真菌培养阳性(曲霉和除马尼菲青霉以外的青霉需排除污染);
(4)合格痰液或支气管肺泡灌洗液发现肺孢子菌包囊、滋养体或囊内小体;
(5)胸腔积液和血液直接镜检发现新生隐球菌。


组织病理学证据

肺组织标本进行组织病理学检查发现真菌感染的病理改变以及菌丝或孢子等真菌成分。

​

回复

使用道具 举报

您需要登录后才可以回帖 登录 | 立即注册

本版积分规则

×发帖声明
1、本站为技术交流论坛,发帖的内容具有互动属性。您在本站发布的内容:
①在无人回复的情况下,可以通过自助删帖功能随时删除(自助删帖功能关闭期间,可以联系管理员微信:8542508 处理。)
②在有人回复和讨论的情况下,主题帖和回复内容已构成一个不可分割的整体,您将不能直接删除该帖。
2、禁止发布任何涉政、涉黄赌毒及其他违反国家相关法律、法规、及本站版规的内容,详情请参阅《蒲公英论坛总版规》。
3、您在本站发表、转载的任何作品仅代表您个人观点,不代表本站观点。不要盗用有版权要求的作品,转贴请注明来源,否则文责自负。
4、请认真阅读上述条款,您发帖即代表接受上述条款。

QQ|手机版|蒲公英|ouryao|蒲公英 ( 京ICP备14042168号-1 )  增值电信业务经营许可证编号:京B2-20243455  互联网药品信息服务资格证书编号:(京)-非经营性-2024-0033

GMT+8, 2025-10-21 14:14

Powered by Discuz! X3.4

Copyright © 2001-2020, Tencent Cloud.

声明:蒲公英网站所涉及的原创文章、文字内容、视频图片及首发资料,版权归作者及蒲公英网站所有,转载要在显著位置标明来源“蒲公英”;禁止任何形式的商业用途。违反上述声明的,本站及作者将追究法律责任。
快速回复 返回顶部 返回列表